主办方:合作
官方网站:
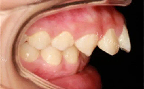
下巴后缩是一种常见的面部畸形,主要表现为下颌骨与上颌骨之间的关系异常,导致下巴部位凹陷,影响整体面部轮廓美观。有些情况不光是影响面部美观,对于日常的咬合能力都有所限制,本文给大家详细介绍一下具体症状以及治疗改善的方式,让有困扰的朋友们能够有更好的参考
种植牙之家
口腔 https://www.njhxnpx.com。下巴后缩的具体症状包括但不限于:面部外观不协调,下巴凹陷,唇部功能受限,面部轮廓缺乏立体感等。每个人的具体情况不同,症状以及治疗方式也都一样,接下来详细了解一下治疗方案!
治疗改善方式主要包括手术矫正和牙齿矫正两种方法。手术矫正通常需要进行颌面外科手术,通过对下颌骨进行调整来改善下巴后缩的问题。而牙齿矫正则是通过调整牙齿的位置和咬合来改善下颌后缩的问题。两种方式主要还是看患者的具体程度,针对口腔情况不同,选择合适的治疗方式。
在牙齿矫正中,根据使用的矫正器产品不同,价格和结果也会有所不同。通常金属矫正器的价格在5000元左右,隐形牙套则需要约15000元左右。金属矫正器的优势在于价格相对较为便宜,治疗结果明显,适用于一般病例;而隐形牙套则具有外观美观、舒适度高等优点,适用于追求美观的患者。现在两种产品都非常常见,可以根据自身预算进行选择。
建议大家在选择治疗方式时,应该根据自身情况去正规口腔医院进行详细了解和评估,选择适合自己的治疗方式。牙齿矫正是一个需要长期治疗和配合的过程,因此选择合适的矫正器产品和正规医生的指导至关重要,希望每位患者都能拥有美丽的笑容和健康的牙齿。


